Режим работы: с 9.00 - 21.00

ст. м. Тютчевская г. Москва, Мосрентген, д.37

ст. м. Новаторская г. Москва, Ленинский пр. 95Б

ст. м. Тютчевская г. Москва, Мосрентген, д.37
ст. м. Новаторская г. Москва, Ленинский пр. 95Б
Режим работы:
с 9.00 - 21.00

Мохамед-Эль-Халаф Рамиз Алаеддинович

Врач стоматолог-ортодонт.

Мохамед-Эль-Халаф Рамиз Алаеддинович
Врач стоматолог-ортодонт.

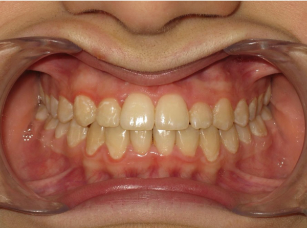
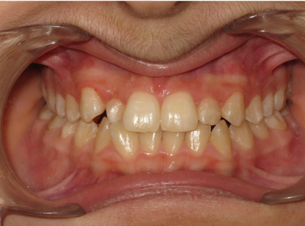
Работы ДО ПОСЛЕ
После
До
Путь в профессии
Врач стоматолог-ортодонт.
 
Соавтор нескольких зарубежных и отечественных научных статей по специальности «Ортодонтия», публикации в журнале SCOPUS. Призер Всероссийской Межвузовской Олимпиады по стоматологии.
Основное направление - исправление прикуса, диагностика и лечение патологии зубочелюстной системы, исправление скученности зубов разной степени сложности. 
Образование
2020 Российский университет дружбы народов (РУДН).Стоматология. Врач-стоматолог с отличием.
2022 Московский государственный медико-стоматологический университет им А.И.Евдокимова.Ортодонтия.Ординатура.
2020 «Применение ортодонтических кап в клинической практике ортодонта», «3D Smile».
2020«Стар Смайл».
2021«Конгресс ортодонтии», «OHI-S», г. Москва.
2021«Секреты успеха при работе на элайнерах», «Eurokappa».
2021«Творческий подход в ортодонтической практике», «American Orthodontics».
2021«XXI съезд профессионального общества ортодонтов», «Ортолайт», г. Санкт-Петербург.
2022«Стар Смайл Pro», г. Москва.
2022«XXII Съезд профессионального общества ортодонтов», «Ортолайт», г. Москва.
Онлайн-запись к специалисту
Адрес
Мосрентген 37
Ленинский 95Б
Дата
Время

Нажимая на кнопку «Отправить», я даю согласие на обработку персональных данных.
Врачи
Цены
Меню
Контакты
Записаться
Наш сайт использует куки. Продолжая пользоваться сайтом вы соглашаетесь с политикой конфиденциальности.
OK