Режим работы: с 9.00 - 21.00

ст. м. Тютчевская г. Москва, Мосрентген, д.37

ст. м. Новаторская г. Москва, Ленинский пр. 95Б

ст. м. Тютчевская г. Москва, Мосрентген, д.37
ст. м. Новаторская г. Москва, Ленинский пр. 95Б
Режим работы:
с 9.00 - 21.00

Портфолио

Красивая улыбка — показатель здоровья, залог уверенности и яркой привлекательности. В наших стоматологических клиниках, каждый случай ценен и уникален, и наша задача — создать идеальное решение именно для вас! Мы гордимся результатами своей работы и готовы поделиться с вами! Ниже представлены реальные истории наших замечательных пациентов, которые доверили нам свое здоровье и получили желаемый результат. 

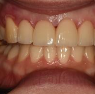
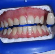
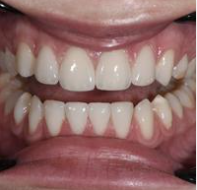
Протезирование. Врач стоматолог-ортопед Гулгазарян Арсен Артурович
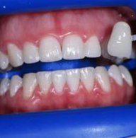
Отбеливание системой "Zoom 4" в одно посещение. Врач стоматолог-терапевт Курталевич Диана.
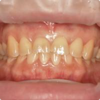
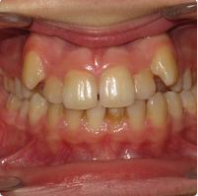
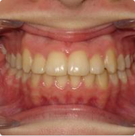
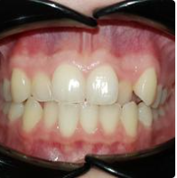
Ортодонтическое лечение. Врач стоматолог-ортодонт Мохамед Эль-Халаф Рамиз Алаеддинович.
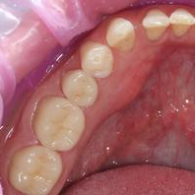
Протезирование на имплантах. Врач стоматолог-ортопед Гасанова Эльвира Шохраталиевна.
Протезирование зубов. Врач стоматолог-ортопед Гулгазарян Арсен Артурович.
Тотальная реабилитация. Врач стоматолог-ортопед Гасанова Эльвира Шохраталиевна.
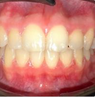
Ортодонтическое лечение. Врач стоматолог-ортодонт Мохамед Эль-Халаф Рамиз Алаеддинович.
Коронки за 1 прием. Врач стоматолог-ортопед Гулгазарян Арсен Артурович.
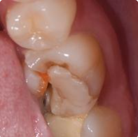
Перелечивание корневых каналов и протезирование керамической накладкой в одно посещение. Врач стоматолог-терапевт Курталевич Диана.
Врачи
Цены
Меню
Контакты
Записаться
Наш сайт использует куки. Продолжая пользоваться сайтом вы соглашаетесь с политикой конфиденциальности.
OK